Sanità

Diagnosi dei tumori più rapide grazie all’IA: ecco il sistema MiThyCA

Un algoritmo open source supporta i patologi nell’analisi delle immagini istologiche

mercoledì 28 gennaio 2026 - a cura di Progettare per la Sanità

3 (2)

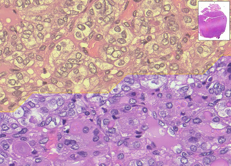
Un nuovo sistema di Intelligenza Artificiale promette di accelerare e rendere più efficiente la diagnosi dei tumori solidi. Si chiama MiThyCA ed è un algoritmo di digital pathology sviluppato da un ampio network di università, ospedali e centri di ricerca italiani.

Basato su reti neurali profonde, MiThyCA è stato addestrato su migliaia di immagini ad altissima risoluzione ottenute dalla digitalizzazione dei vetrini istologici. Il sistema è in grado di analizzare campioni complessi in pochi minuti, individuando automaticamente aree e marcatori sospetti che meritano l’attenzione dello specialista.

La sua caratteristica distintiva è il cosiddetto “doppio occhio”: due reti neurali che operano in sequenza. La prima analizza i dettagli cellulari, la seconda restituisce una visione d’insieme del campione. L’integrazione delle due letture consente di segnalare le zone più rilevanti, senza mai sostituirsi al giudizio del medico.

Nei test condotti su casi di carcinoma tiroideo, MiThyCA ha raggiunto livelli di accuratezza paragonabili a quelli di team di professionisti esperti, offrendo un secondo parere oggettivo e riproducibile. In prospettiva, la digitalizzazione dei vetrini potrebbe ridurre i tempi di attesa e favorire l’avvio più rapido di terapie personalizzate.

Il progetto è open source e già disponibile per la comunità scientifica, con la capacità di adattarsi a immagini prodotte con scanner e protocolli diversi, un requisito fondamentale per un’adozione su larga scala nella pratica clinica.

Idrogeno verde, una soluzione per l'energia del futuro. Ma oggi è ancora troppo caro

L'obiettivo crescita sostenibile è raggiungibile attraverso l'utilizzo dell'idrogeno verde. Ma al momento... Leggi


Bonus elettrodomestici green, spunta il nuovo contributo per rendere la casa più efficiente

Il governo ha allo studio l'introduzione di un nuovo bonus elettrodomestici, che... Leggi

Potrebbe interessarti

Iscriviti alla newsletter di Build News

Rimani aggiornato sulle ultime novità in campo di efficienza energetica e sostenibilità edile

Iscriviti

I più letti sull'argomento


Progetti copertina articolo
Una sala autoptica di massima sicurezza a prova di agenti patogeni

La sala autoptica all’Ospedale Policlinico San Martino di Genova ha da poco...

Sanità copertina articolo
Nasce il nuovo Campus della Salute dell'Università di Pavia

Lunedì 18 settembre l'inaugurazione della nuova sede della Facoltà di Medicina, alla...

Dello stesso autore


Sanità
Tumori: mortalità in calo nell’UE, ma pesa l’invecchiamento della popolazione

Stabili i decessi per tumore del polmone nelle donne, resta centrale la...

Sanità
Liste d’attesa, Schillaci: “Miglioramenti in atto, ma servono controlli più rigorosi”

Il ministro della Salute annuncia verifiche rafforzate e difende la riforma del...

Sanità
Sanità, allarme medici: entro il 2038 fino a 39mila pensionamenti

Invecchiamento della popolazione, squilibri territoriali e specializzazioni poco attrattive mettono sotto pressione...